2013ǯ07·î16Æü¤Ë½ñ¤¤¤¿¶áÆ£»õ²Ê±¡Ä¹¤Î¥Ö¥í¥°¡£

¶áÆ£»õ²Ê¥¯¥ê¥Ë¥Ã¥¯±¡Ä¹¤Î¥Ö¥í¥° /
2013ǯ07·î16Æü
¤³¤ì¤«¤éÅö±¡¤Ç¼£ÎŤ·¤¿¾ÉÎã¤ò¥Ö¥í¥°¤Ç¾Ò²ð¤·¤Æ¤¤¤³¤¦¤È¹Í¤¨¤Æ¤¤¤Þ¤¹¡£
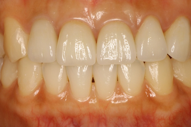
º£²ó¤Ï¡Ö¥ª¡¼¥ë¥»¥é¥ß¥Ã¥¯¥¯¥é¥¦¥ó¤òÍѤ¤¤ÆÁ°»õ¤ò¼£¤·¤¿¾ÉÎã¡×¤Ç¤¹¡£
´µ¼Ô¤µ¤ó¤Ï¡ÉÁ°»õ¤¬µ¤¤Ë¤Ê¤ë¡É¤È¤¤¤¦¤³¤È¤ÇÍ象¤µ¤ì¤Þ¤·¤¿¡£
¤«¤Ö¤»¤â¤Î¤¬¤¢¤Ã¤Æ¤¤¤Ê¤«¤Ã¤¿¤ê¡¢¤à¤·»õ¤Ë¤Ê¤Ã¤Æ¤¤¤¿¤ê¤È¤¹¤Ù¤Æ¤Î¤«¤Ö¤»¤â¤Î¤Î¤ä¤êÂØ¤¨¤¬É¬ÍפʾõÂ֤Ǥ·¤¿¡£
¤«¤Ö¤»¤â¤Î¤À¤±¤Ç¤Ê¤¯¡¢Ãæ¤ÎÅÚÂæ¤â¿³ÈþŪ¤Ê¤â¤Î¤Ë¤ä¤êÂØ¤¨¤Þ¤·¤¿¡£
¤«¤Ö¤»¤â¤Î¤Ë¤Ï¡¢¶â°¤ò°ìÀڻȤï¤Ê¤¤¥ª¡¼¥ë¥»¥é¥ß¥Ã¥¯¥¯¥é¥¦¥ó¤ò»ÈÍѤ·¤Þ¤·¤¿¡£¶â°¤òÍѤ¤¤Ê¤¤¤¿¤á¤Ë¡¢¸÷¤ÎÆ©²áÀ¤¬¾å¤¬¤ê¡¢¼«Á³¤Ê»Å¾å¤¬¤ê¤Ë¤Ê¤ê¤Þ¤¹¡£
¼£ÎÅ·ë²Ì¤Ë´µ¼Ô¤µ¤ó¤ÏÂçÊÑËþ¤µ¤ì¤Æ¤ª¤ê¤Þ¤¹¡£
¿³Èþ¾ã³²¤ò¼£ÎŤ·¤¿£±Îã¤Ç¤·¤¿¡£
| Åê¹Æ¼Ô±¡Ä¹