2014年04月04日に書いた近藤歯科院長のブログ。

2014年04月04日
本日は症例提示を行います。
皆さん、歯がなくなった場合どのように治療すると思いますか?
ブリッジ、入れ歯、インプラントでしょうか?
それぞれの治療には利点、欠点が存在し、患者さんの希望、お口の中の状態などなどいろんな事を検討し、治療方法を決定します。
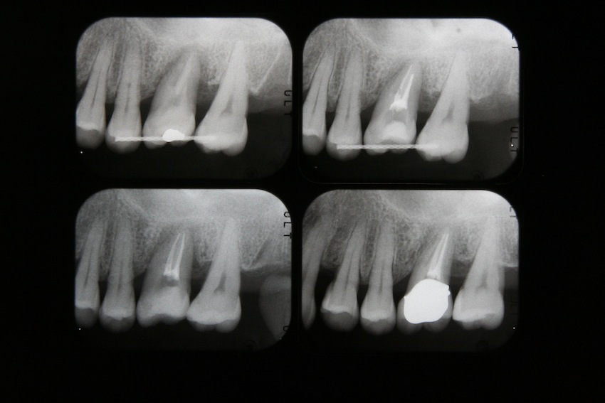
今日は奥歯が1本なくなった患者さんで自家歯牙移植という方法で治療したケースをご紹介します。
写真1 左上の歯が一本ありません
写真2 左上の親知らずを抜いて、手前の歯のないところに移植しました
写真3 レントゲンの経過です。右下が治療後です。非常に安定したいい状態です。
自家歯牙移植とは、患者さんのお口の中で機能していない歯(親知らずの場合が多い)を抜いて、歯がなくなった部位に移し替える(移植)方法です。インプラントとの大きな違いは、自分の歯を利用している点です。歯の感覚受容器である歯根膜が存在しますし、術後に矯正を行う事もできます。
移植できる歯がなければできない治療方法ですが、可能ならば非常に素晴らしい治療方法です。
ご不明な点などございましたら、ご相談ください。
| 投稿者院長
****
認証待ちのコメントです。
[ 内容編集 ]