2015年01月20日に書いた近藤歯科院長のブログ。
近藤歯科クリニック院長のブログ /
2015年01月20日
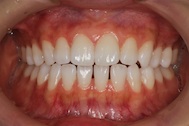
今回は症例をのせます。 歯を白くしたいとのご希望で来院された患者さんです。 ホワイトニングを行いました。ホームホワイトニングといって、家庭でマウスピース内に液を入れてはめるだけの簡素な方法です。 オフィスホワイトニングといって、診療室で光を当てて行う方法よりも白くなりやすく、後戻りも少ない方法です。 2週間できれいに白くなり、患者さんは大満足です。
| 投稿者院長
お名前 (必須)
Eメール (必須)※表示されることはありません
コメント (必須)
パスワード (必須) ※コメント修正用に必要となります。 ※半角英数字でご入力ください。
下記セキュリティコード(半角数字)を入力してください
※このエントリーではブログ管理者の設定により、ブログ管理者に承認されるまでコメントは反映されません
近藤歯科クリニック
近藤 久紀
院長紹介
« 2026年01月 »
日
月
火
水
木
金
土
1
2
3
4
5
6
7
8
9
10
11
12
13
14
15
16
17
18
19
20
21
22
23
24
25
26
27
28
29
30
31
月別ブログ(日記)一覧
2025年12月
2025年11月
2025年08月
2025年05月
2025年04月
2025年03月
2025年02月
カテゴリ別ブログ一覧
日常生活(226件)
日常生活(7件)
仕事(254件)
ダイエット(5件)
趣味(1件)