2013ǯ07·î¤Ë¤Þ¤Ä¤ï¤ë¥Ö¥í¥°¡£¶áÆ£»õ²Ê¤Î±¡Ä¹¤Î¥Ö¥í¥°¡£

¶áÆ£»õ²Ê¥¯¥ê¥Ë¥Ã¥¯±¡Ä¹¤Î¥Ö¥í¥°
ÆüÍËÆü¤Ë¡ÖÒû¹ç´ï¡×¤Î»ÈÍѤ˴ؤ¹¤ë¹Ö½¬²ñ¤Ë»²²Ã¤·¤Æ¤¤Þ¤·¤¿¡£
Òû¹ç´ï¤È¤Ï¼Ì¿¿¤Ë¤¢¤ë¤è¤¦¤Ê¤â¤Î¤Ê¤Î¤Ç¤¹¤¬¡¢´µ¼Ô¤µ¤ó¤Î»õ¤Ë¤«¤Ö¤»¤ë¤«¤Ö¤»¤â¤Î¤òºî¤Ã¤¿¤ê¤¹¤ë¤È¤¡¢´µ¼Ô¤µ¤ó¤ÎÒû¤ß¤¢¤ï¤»¤ò¿ÇÃǤ¹¤ë¤È¤¤Ê¤É¤Ë
| ¥³¥á¥ó¥È (0) |¡¡2013ǯ07·î22Æü
¤³¤ì¤«¤éÅö±¡¤Ç¼£ÎŤ·¤¿¾ÉÎã¤ò¥Ö¥í¥°¤Ç¾Ò²ð¤·¤Æ¤¤¤³¤¦¤È¹Í¤¨¤Æ¤¤¤Þ¤¹¡£
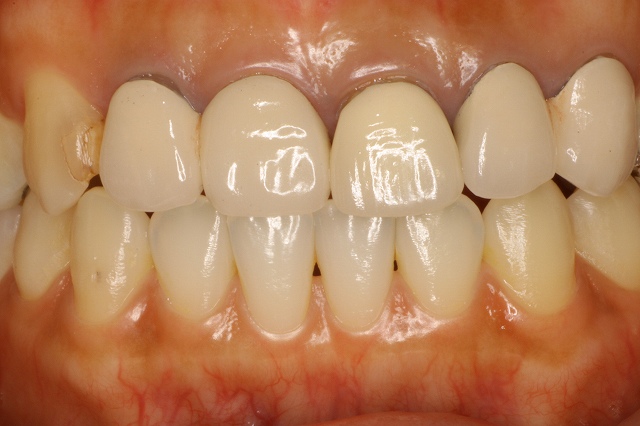
º£²ó¤Ï¡Ö¥ª¡¼¥ë¥»¥é¥ß¥Ã¥¯¥¯¥é¥¦¥ó¤òÍѤ¤¤ÆÁ°»õ¤ò¼£¤·¤¿¾ÉÎã¡×¤Ç¤¹¡£
´µ¼Ô¤µ¤ó¤Ï¡ÉÁ°»õ¤¬µ¤¤Ë¤Ê¤ë¡É¤È¤¤¤¦¤³¤È¤ÇÍ象¤µ¤ì¤Þ¤·¤¿
| ¥³¥á¥ó¥È (0) |¡¡2013ǯ07·î16Æü
»õ²Ê³¦¤Î»¨»ï¤Ë¡Ö»õ³¦Å¸Ë¾¡×¤È¤¤¤¦¤â¤Î¤¬¤¢¤ê¤Þ¤¹¡£
·î£±¤Çȯ´©¤µ¤ì¤ë³Ø½Ñ»ï¤Ç¤¹¡£
¤³¤Î»¨»ï¤Ë¡¢
¡Á£Ç£Ð¤³¤½¥Þ¥¤¥¯¥í¥¹¥³¡¼¥×¤ò¡Á¡¡¡¡¥Þ¥¤¥¯¥í¥¹¥³¡¼¥×¤òÍѤ¤¤¿»õº¬Ã¼ÀÚ½ü½Ñ
¤È¤¤¤¦¥¿¥¤¥È¥ë¤Ç¡¢
| ¥³¥á¥ó¥È (2) |¡¡2013ǯ07·î03Æü