2015年01月にまつわるブログ。近藤歯科の院長のブログ。

今回は症例をのせます。
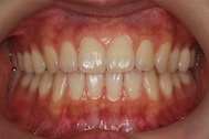
歯を白くしたいとのご希望で来院された患者さんです。
ホワイトニングを行いました。ホームホワイトニングといって、家庭でマウスピース内に液を入れてはめるだけの簡素な方法
| コメント (0) | 2015年01月20日
連休にらいちょうバレースキー場に行ってきました。
今シーズンの初滑りです。
大阪から友達家族が来て、一緒に楽しみました。
日曜日のナイターから滑る予定で行ったのですが、悪天候でナイターは
| コメント (0) | 2015年01月14日
あけましておめでとうございます。
近藤歯科クリニックは本日が仕事始めでした。
1名インフルエンザにて欠勤。
少々厳しいスタートになりました。
本年もよろしくお願いいたします。
| コメント (0) | 2015年01月05日